O que é?
O hallux valgus, também conhecido como joanete, é uma deformidade anatómica que afeta o dedo grande do pé (hallux) e é uma das patologias mais comuns do pé.
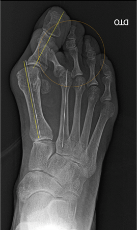
É caracterizada pelo desvio do hallux em direção aos outros dedos menores e do primeiro metatarso para dentro, o que provoca uma proeminência óssea na base do primeiro dedo, denominada bunion.
O hallux valgus é uma condição progressiva, o que significa que, se não for tratado precocemente, pode progredir, levando a deformidades mais avançadas. Quando a deformidade já tem muito tempo, a articulação tende a tornar-se rígida, não permitindo o movimento, o que pode alterar o tipo de tratamento.
Como aparece?
A causa dos joanetes é multifactorial, sendo muito improvável que apenas um fator leve ao aparecimento desta patologia. Normalmente, aparece por uma combinação de fatores internos (que dizem respeito ao próprio indivíduo) e fatores externos ao doente (relativos ao ambiente).
Fatores Internos:
-
- Hereditário.
- Laxidez ligamentar.
- Pé plano e com pronação excessiva (aumento do contato do hallux com o chão, empurrando-o contra os outros dedos).
Idade. - Peso (aumento do peso pode diminuir o arco plantar).
- Doenças neuromusculares ou reumatológicas pré-existentes (Artrite reumatóide, gota ou lúpus).
Fatores externos:
-
- Calçado (Fator externo mais importante)
- Utilizar de forma regular calçado que é mais apertado na região dos dedos – como saltos altos e calçados com ponta fina, por exemplo – favorecem o desvio do hallux, devido à compressão direta nos dedos.
- Atividade Física
- Atividades que aumentam a sobrecarga nos pés ou que requerem o uso de calçados mais apertados podem acelerar a formação do joanete, como no caso da corrida ou ballet.
- Calçado (Fator externo mais importante)
Quais os sintomas?
Os sintomas mais comuns do hallux valgus incluem saliência óssea na base do primeiro dedo, edema, rubor ou calosidade. Na fase inicial, o joanete pode não apresentar dor ou esta pode ser ocasional. Geralmente, esse desconforto está associado à utilização de calçado apertado ou sobrecarga. Porém, com o desenvolvimento progressivo da deformidade, essa dor pode tornar-se constante, devido à inflamação e à formação da protuberância óssea que limita o movimento articular,e consequentemente, alterar a biomecânica da marcha.
Como se faz o diagnóstico?
Ao exame objetivo para além de observar a deformidade anatómica do primeiro dedo, tem que ser avaliada a presença de outras patologias concomitantes como pé plano, metatarsalgia central, lesão da placa plantar, dedos em garra. É necessário avaliar a gravidade da deformação, a sua redutibilidade e avaliar o grau de mobilidade da articulação metatarsofalângica.
Geralmente o estudo é complementado com exames auxiliares de diagnóstico, como a radiografia dos pés em carga. Neste exame, é realizada a medição de certos ângulos, que irá orientar o tipo de tratamento mais adequado. Em casos selecionados poderá ser necessário a realização de TAC ou ressonância magnética.
Qual o tratamento?
O tratamento do hallux valgus depende da gravidade dos sintomas.
Tratamento conservador
Em casos leves, o tratamento conservador pode ajudar a aliviar os sintomas. Este tratamento não visa à correção da deformidade, pois o hallux valgus é um problema permanente, que só deixará de existir se houver tratamento cirúrgico.
Este tratamento consiste, nas medidas gerais anti-inflamatórias (repouso, elevação, gelo e medicação analgésica) e na evicção das atividades que provocam a dor.
Deve utilizar-se um calçado mais largo e confortável, palmilhas ou ortóteses que podem ajudar a aliviar os sintomas.
Tratamento Cirúrgico
Se o tratamento conservador não trouxer resultados ao paciente, a cirurgia passa a ser indicada. Em casos mais graves, quando a dor é intensa ou a deformidade é significativa, a cirurgia pode ser recomendada para realinhar a articulação e corrigir a deformidade. Existem mais de cem técnicas diferentes que permitem corrigir a deformidade, a fim de restaurar as funções perdidas e eliminar os sintomas dolorosos.
Os procedimentos cirúrgicos são adequados à deformidade que o doente apresenta (exame objetivo e radiografias). As mais utilizadas são as osteotomias distal do 1ºmetatarso em chevron e osteotomia de Akin da falange proximal do hallux. Em casos muito severos, em que haja uma grande artrose da articulação metatarsofalângica do hallux, a artrodese (fusão desta articulação) pode estar indicada para controlo sintomático e de realinhamento do pé.
Os procedimentos cirúrgicos podem ser realizados por técnicas abertas ou técnica percutânea, por exemplo, através de pequenos orifícios, por onde são introduzidos os instrumentos para corrigir a deformidade.

Por vezes pode ser necessário realizar outros tipos de procedimentos noutros dedos menores, se houver outras alterações também presentes (dedos em garra, cross-over, metatarsalgia central, …)
No caso de tratamento cirúrgico, como é o pós operatório?
- Pode caminhar com o auxílio de canadianas e com o sapato pós cirúrgico, após dia 1.
- Primeiro penso pós-operatório na avaliação da 1ª consulta.
- Retira pontos na avaliação da 2ª consulta.
- Inicia retirada de sapato às 4 semanas e colocação de sapato confortável.
- Início da fisioterapia, se necessário, após a retirada do sapato. Para ganho de mobilidade articular e fortalecimento dos músculos intrínsecos do pé e alongamento da cadeia posterior.