Marque a sua consulta!

Doença de Müller-Weiss

O que é?

A Doença de Müller-Weiss é uma osteonecrose rara e espontânea do osso navicular em adultos, mais frequentemente em mulheres entre 40 e 60 anos. Pode ser bilateral em até 60% dos casos. Essa condição leva à deformidade, fragmentação e colapso do osso navicular, resultando em dor crónica e deformidades no pé.

 

Como aparece?

  • A causa exata da doença de Müller-Weiss é desconhecida, e provavelmente é de causa multifactorial. Várias condições podem estar na origem deste problema:
  • Disfunção vascular local que pode levar à necrose avascular (o osso navicular tem uma vascularização precária, o que o torna suscetível à necrose).
  • Falha no desenvolvimento e ossificação do osso navicular durante a infância ou mesmo anormalidade congênita do centro de ossificação.
  • Stress mecânico crônico associado à deformidade do pé (pé cavo ou pé plano);

 

Quais os sintomas?

Os sintomas mais comuns desta patologia são a dor na parte medial (de dentro) do mediopé ou rertropé, que geralmente piora com a deambulação ou com atividades de impacto. Com a progressão da doença, vão surgindo deformidades a nível do pé: há um colapso do arco medial que vai originar um pé plano, e uma proeminência óssea dolorosa na face medial do pé (navicular que sofre extrusão). Quando a doença se torna severa pode causar limitação da marcha e dificuldade para calçar sapatos devido às deformidades ósseas.

 

Como se faz o diagnóstico?

Ao exame objetivo podemos suspeitar deste diagnóstico, quando observamos um pé plano, com um retropé varo (chamado pé plano paradoxal). Podemos reproduzir a sintomatologia com a palpação a nível do navicular.

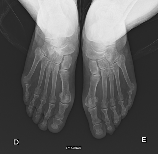
Geralmente o estudo é complementado com exames auxiliares de diagnóstico, como a radiografia dos pés em carga, onde podemos observar a fragmentação e colapso do navicular, o varismo do retropé e subluxação lateral do astrágalo. Pode ainda visualizar-se o estreitamento do espaço articular, esclerose do osso subcondral, formação de osteófitos e possíveis deformidades articulares. Pode ser necessário o estudo complementar com tomografia computorizada ou ressonância magnética.

 

Qual o tratamento?

O tratamento é geralmente focado em aliviar os sintomas, melhorar a função articular e retardar a progressão da doença. 

Tratamento conservador
Independentemente do grau de osteoartrose da articulação talonavicular, o tratamento conservador deve ser tentado primeiro para avaliar sua eficácia e existem várias opções de tratamento que podem ser combinadas para aliviar os seus sintomas.

  • Utilização de palmilhas que melhorem o alinhamento do membro.
  • Evitar deambular em terrenos irregulares.
  • O fortalecimento muscular, a prática regular de exercícios de alongamento e a aplicação de gelo local são algumas das medidas mais importantes.
  • Utilização de calçado com amortecimento e suporte adequado.
  • Medicação analgésica e antiinflamatória.
  • Quando estas medidas não são suficientes, podemos avançar para terapias mais invasivas mas ainda poupadoras da articulação, como as injeções intra-articulares.

Tratamento Cirúrgico
O tratamento cirúrgico está indicado quando falha o tratamento conservador. Em estadios de artrose precoces que existe um desalinhamento biomecânico, as osteotomias corretoras podem estar indicadas. Em estadios mais avançados, a artrodese talonavicular (fusão desta articulação) pode estar indicada, que ao eliminar o movimento diminui a dor. 

No caso de tratamento cirúrgico com osteotomia, como é o pós operatório?

  • Pode caminhar com o auxílio de canadianas, sem carga no membro operado
  • Primeiro penso pós-operatório na avaliação da 1ª consulta.
  • Retira pontos na avaliação da 2ª consulta.
  • Inicia carga parcial progressiva às 4-5 semanas
  • Inicio da fisioterapia, se necessário, após início da carga. Para treino de marcha e fortalecimento dos músculos do pé e tornozelo.

No caso de tratamento cirúrgico com artrodese do pé, como é o pós operatório?

  • Pode caminhar com o auxílio de canadianas, sem carga no membro operado
  • Primeiro penso pós-operatório na avaliação da 1ª consulta.
  • Retira pontos na avaliação da 2ª consulta.
  • Inicia carga parcial progressiva às 4-6 semanas
  • Inicio da fisioterapia, se necessário, após início da carga. Para treino de marcha e fortalecimento dos músculos do pé e tornozelo.

RESUMO

Artrodese do pé

Cirurgia

Ambulatório

Tempo de cirurgia

1,5 horas

Tempo de descarga

4 a 6 semanas

Necessidades especiais

canadianas

Regresso ao trabalho de secretária

3 a 4 semanas

Regresso ao trabalho em pé ou pesado

12 semanas

Regresso ao desporto

sem info

Osteotomia do calcâneo

Cirurgia

Ambulatório

Tempo de cirurgia

1 hora

Tempo de descarga

4 a 6 semanas

Necessidades especiais

canadianas

Regresso ao trabalho de secretária

3 a 4 semanas

Regresso ao trabalho em pé ou pesado

8 a 12 semanas

Regresso ao desporto

>12 semanas

Pretende algum esclarecimento adicional?
Terei todo o gosto em ajudar!